치아살리기 치료

치아살리기

뿌리염증 제거술란?

치아 뿌리 끝에 염증이 생긴 경우는 몇 가지의 원인이 있습니다. 교합문제나 다른 자연 발생적으로 생긴 염증일 수 있고, 이미 신경 치료된 치아가 어떤 이유에서 다시 감염 되었을 때도 뿌리에 염증이 생길 수 있습니다. 염증이 생긴 원인과 염증 범위에 따라 여러 가지 형태로 치료할 수 있습니다.

뿌리염증 제거술

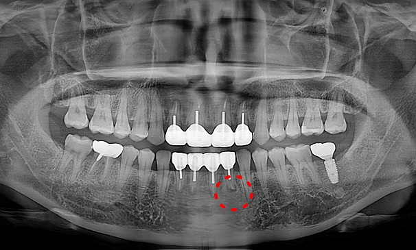
이OO님 전후사진 | 치료 기간 : 3개월 후

치료 전

로그인 후 이용해주세요

전후사진은 회원 로그인 후 확인 가능합니다.
로그인하기

치료 후

뿌리염증제거술

강OO님 전후사진 | 치료 기간 : 1주

치료 전

로그인 후 이용해주세요

전후사진은 회원 로그인 후 확인 가능합니다.
로그인하기

치료 후