치아살리기 치료

치아살리기

자가치아 재 식립술란?

자가치아재식립술이란 치아에 염증이 심하거나 신경치료 된 치아에 어떤 문제가 생겼을 때 해당 치아를 조심스럽고 안정적으로 발치한 후, 구강 밖에서 염증이나 병든 부분을 깨끗하게 제거 하고 뽑았던 치아는 특수 재료로 처리한 다음에 원래 있었던 자리로 다시 조심스럽게 식립하여 치아를 살리는 치료법입니다.

자가치아재식립술

임OO님 전후사진 | 치료 기간 : 1주

치료 전

로그인 후 이용해주세요

전후사진은 회원 로그인 후 확인 가능합니다.
로그인하기

치료 후

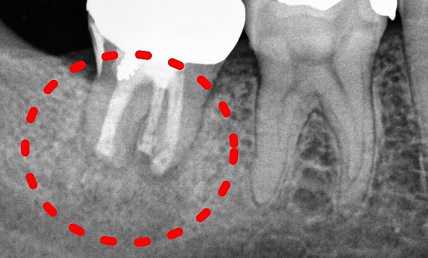
자가치아재식립술

설OO님 전후사진 | 치료 기간 : 1주

치료 전

로그인 후 이용해주세요

전후사진은 회원 로그인 후 확인 가능합니다.
로그인하기

치료 후

자가치아재식립술

강OO님 전후사진 | 치료 기간 : 2주

치료 전

로그인 후 이용해주세요

전후사진은 회원 로그인 후 확인 가능합니다.
로그인하기

치료 후