대표전화
온라인상담
네이버톡톡
네이버예약
오시는길
×
개인정보 취급방침
개인정보 처리방침에 대한 내용을 입력하십시오.
×
이용약관
서비스 이용약관에 대한 내용을 입력하십시오.
치아살리기란?
치아살리는 병원
치아살리기 특별함
치아살리기 치료
치아살리기
잇몸뼈 재생치료
자가치아 재 식립술
뿌리염증 제거술
병든 뿌리 절제술
특수 신경치료
특수 재 신경치료
치아길이 연장술
치아머리 확보술
자가치아이식술
금간치아치료
깊은 충치치료
치아패짐치료
앞니 깨짐치료
잇몸살리기
잇몸이식술
잇몸치료
특수잇몸치료
잇몸재생교정
잇몸재생교정
안티에이징
전악재건술
치료 전후 사진
통합치료
보철
보존
치주
임플란트
틀니치료
사랑니발치
커뮤니티
치료후기
언론기사
SMS 빠른상담
온라인상담
Contact us
닫기
로그인
회원가입
치아살리기란?
치아살리는 병원
치아살리기 특별함
치아살리기 치료
치아살리기
잇몸뼈 재생치료
자가치아 재 식립술
뿌리염증 제거술
병든 뿌리 절제술
특수 신경치료
특수 재 신경치료
치아길이 연장술
치아머리 확보술
자가치아이식술
금간치아치료
깊은 충치치료
치아패짐치료
앞니 깨짐치료
잇몸살리기
잇몸이식술
잇몸치료
특수잇몸치료
잇몸재생교정
잇몸재생교정
안티에이징
전악재건술
치료 전후 사진
통합치료
보철
보존
치주
임플란트
틀니치료
사랑니발치
커뮤니티
치료후기
언론기사
SMS 빠른상담
온라인상담
Contact us
로그인
회원가입
치아살리기 치료
자연치아를 최대한 살려
오래 쓸 수 있도록 최선을 다합니다.
치아살리기
- 잇몸뼈 재생치료
- 자가치아 재 식립술
- 뿌리염증 제거술
- 병든 뿌리 절제술
- 특수 신경치료
- 특수 재 신경치료
- 치아길이 연장술
- 치아머리 확보술
- 자가치아이식술
- 금간치아치료
- 깊은 충치치료
- 치아패짐치료
- 앞니 깨짐치료
잇몸살리기
잇몸이식술
잇몸치료
특수잇몸치료
잇몸재생교정
잇몸재생교정
전악재건술
비발치교정
통합치료
자연치아를 최대한 살려
오래 쓸 수 있도록 최선을 다합니다.
보철
보존
치주
임플란트
틀니치료
사랑니발치
커뮤니티
자연치아를 최대한 살려
오래 쓸 수 있도록 최선을 다합니다.
치료후기
언론기사
SMS 빠른상담
온라인상담
Contact us
치료 전후 사진
치료 전후 사진
치아살리기란?
치아살리는 병원
치아살리기 특별함
치아살리는 치료
치료 전후 사진
통합치료
커뮤니티
잇몸이식술
잇몸치료
특수잇몸치료
치료 전후 사진
치아살리기
잇몸살리기
잇몸재생교정
전악재건술
비발치교정
잇몸이식술
잇몸치료
특수잇몸치료
잇몸이식술
잇몸치료
특수잇몸치료
잇몸이식술
잇몸치료
특수잇몸치료
잇몸이식술
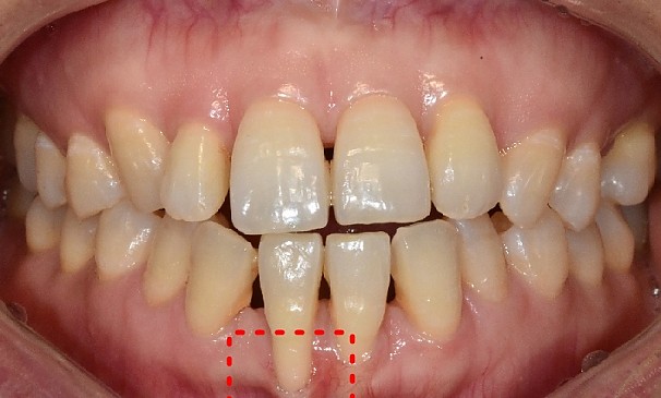
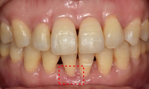
김OO님 전후사진 | 치료 기간 : 한달
치료 전
로그인 후 이용해주세요
전후사진은 회원 로그인 후 확인 가능합니다.
로그인하기
치료 후
잇몸이식술
김OO님 전후사진 | 치료 기간 : 2주
치료 전
로그인 후 이용해주세요
전후사진은 회원 로그인 후 확인 가능합니다.
로그인하기
치료 후
잇몸이식술
조OO님 전후사진 | 치료 기간 : 잇몸이식 2개월 후 촬영
치료 전
로그인 후 이용해주세요
전후사진은 회원 로그인 후 확인 가능합니다.
로그인하기
치료 후
잇몸이식술
윤OO님 전후사진 | 치료 기간 : 잇몸이식 3개월 후 촬영
치료 전
로그인 후 이용해주세요
전후사진은 회원 로그인 후 확인 가능합니다.
로그인하기
치료 후
+
케이스 더 보기