치료 전후 사진

치료 전후 사진

치아살리기 잇몸살리기 잇몸재생교정 전악재건술 비발치교정

잇몸치료

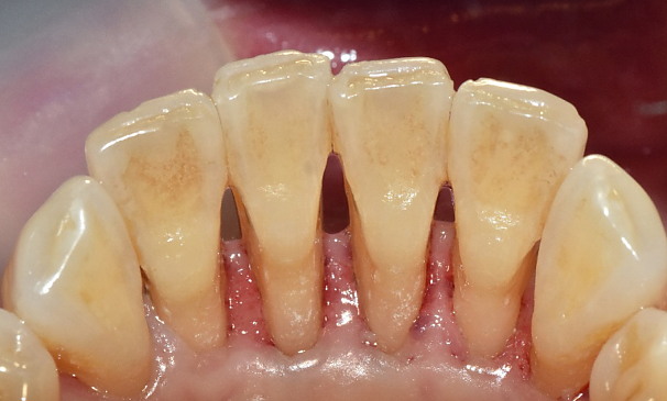
홍OO님 전후사진 | 치료 기간 : 4주

치료 전

로그인 후 이용해주세요

전후사진은 회원 로그인 후 확인 가능합니다.
로그인하기

치료 후

잇몸치료

이OO님 전후사진 | 치료 기간 : 2주

치료 전

로그인 후 이용해주세요

전후사진은 회원 로그인 후 확인 가능합니다.
로그인하기

치료 후